A maioria das úlceras pépticas é causada pela infeção por uma bactéria chamada Helicobacter pylori ou por medicamentos anti-inflamatórios (como por exemplo o ibuprofeno, e o diclofenac ou anti-agregantes plaquetários (como é o caso do ácido acetilsalicílico, a ticlopidina ou o clopidogrel).
Ao contrário do que se pensava anteriormente, o stress, o café e os alimentos picantes não provocam úlcera péptica!
Podem ainda surgir outras queixas como por exemplo distensão abdominal, enfartamento precoce, náuseas ou vómitos, por vezes com sangue, fezes pretas (ver hemorragia digestiva) e perda de peso.
Quando não tratadas as úlceras pépticas podem originar:
1. Hemorragia digestiva: A hemorragia pode ser em pequena quantidade e apenas ser observável em análises de sangue ou ser maciça e necessitar de internamento e transfusões de sangue;
2. Perfuração: As úlceras pépticas podem causar um buraco na parede do estômago ou do duodeno que origina um processo de inflamação e infeção da cavidade abdominal denominada peritonite que pode necessitar de uma cirurgia no seu tratamento;
3. Cicatrizes e Estenoses: A inflamação pode causar cicatrizes que originam apertos que provocam dificuldade na passagem dos alimentos (mais frequente nas úlceras da transição entre o estômago e duodeno – Piloro).
Por vezes pode ser necessária a colheita de pequenos fragmentos da mucosa para análise microscópica, com o objetivo de distinguir a úlcera péptica de outras doenças como por exemplo o cancro do estômago.
Para além disso, podem ser necessários exames para avaliar a presença da bactéria Helicobacter pylori.
O tratamento da úlcera péptica inclui:
1. Erradicação da bactéria Helicobacter pylori, caso se demonstre a infeção pela mesma. O tratamento habitualmente utilizado inclui uma combinação de dois a três antibióticos e de um inibidor da supressão do ácido gástrico durante 10 a 14 dias. Após o tratamento, é necessária a confirmação da erradicação da infecção por esta bactéria. O teste mais frequentemente utilizado é um teste respiratório. Habitualmente não é necessário repetir a endoscopia digestiva alta com o objetivo de confirmar a erradicação da bactérica;
2. Inibidores da supressão de ácido – Os fármacos mais frequentemente utilizados são os inibidores da bomba de protões (omeprazol, rabeprazol, lanzoprazol, pantoprazol e esomeprazol). Estes medicamentos inibem de forma intensa e duradoura a secreção de ácido pelas células do estômago e são prescritos, habitualmente, durante 1 a 3 meses, com o objectivo de possibilitar a cicatrização completa da úlcera;
3. Evitar ou reduzir o consumo de analgésicos, anti-inflamatórios e anti-agregantes plaquetários.
Não existe necessidade de efectuar alterações aos hábitos alimentares habituais!
A maioria das úlceras pépticas respondem bem ao tratamento. As principais causas de falência do tratamento são o não cumprimento da prescrição médica, a resistência do Helicobacter pylori aos antibióticos prescritos e o consumo excessivo de anti-inflamatórios. Existem, depois, algumas causas menos frequentes para a falência do tratamento, nomeadamente uma doença que provoca aumento da secreção de ácido pelas células do estômago chamada síndroma de Zollinger-Ellison e doenças que provocam úlceras parecidas com a úlcera péptica como é o caso do cancro gástrico e a doença de Crohn.
Caso exista persistência de sintomas após o tratamento ou caso a úlcera péptica se localize no estômago, pode ser necessária a realização de nova endoscopia digestiva alta para excluir outras doenças, em especial o cancro gástrico. Raramente é necessário repetir endoscopia digestiva alta no caso de uma úlcera péptica localizada no duodeno.
Para prevenir a recidiva da úlcera péptica deve-se evitar os anti-agregantes plaquetários e os anti-inflamatórios. Caso isso não seja possível está indicado manter os inibidores da supressão do ácido gástrico. Em algumas situações poderá estar indicado manter os inibidores da supressão do ácido gástrico durante mais tempo para prevenção do reaparecimento da úlcera péptica.
Úlcera gástrica

Úlcera gástrica

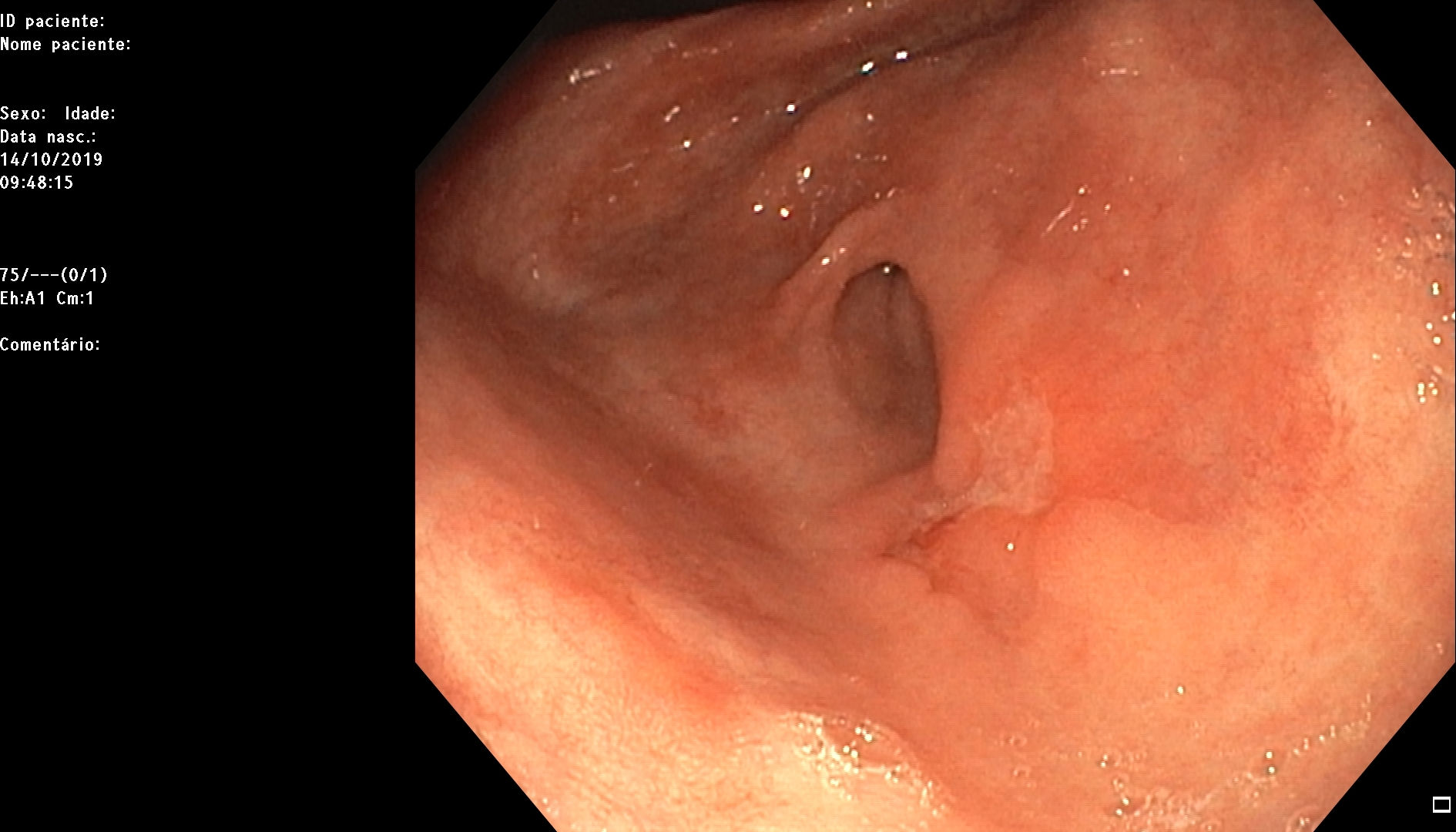
Úlcera duodenal



