Nesta página pode conhecer as candidaturas ao Prémio de Imagem Endoscópica selecionadas pelo júri para votação pelos sócios.
Os vencedores em cada categoria estão assinalados.
Fotografia Fotografia Fotografia Fotografia Fotografia Fotografia Fotografia Fotografia Fotografia Fotografia Fotografia Fotografia Fotografia Fotografia Fotografia Vídeo Vídeo Vídeo Vídeo VídeoError
The hidden diagnosis in excavated gastroduodenal lesions
Severe alendronate-induced esophagitis in a young patient
Atoll islands in a blue sea
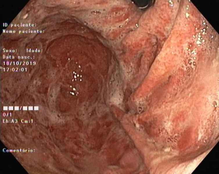
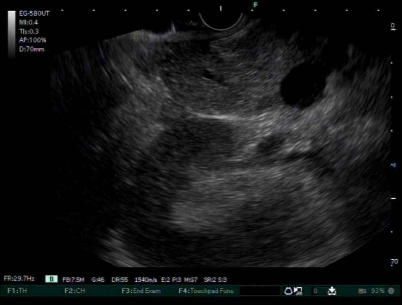
A rare cause of metastatic disease in the stomach
An unexpected (un)friend? Colonoscopy may still be the answer
A case of pancreatic tuberculosis
An uncommon cause of bowel obstruction in Ulcerative Colitis
Disseminated kaposi's sarcoma
From IPMN to IPMN-derived invasive adenocarcinoma
Blue Rubber Bleb Nevus Syndrome: a diagnosis to keep in mind
Gastric Crohn's disease
An unusual gastric finding in a lung cancer patient
A plausible case of sloughing esophagitis
Endoscopic marsupialization of duodenal duplication cysts
Endoscopic reconstruction of an oral feeding route using a rendezvous approach
Biliary stent migration with duodenal perforation: how to manage?
"Retrograde" endoscopic submucosal dissection technique after submucosal tunneling for the resection of a superficial submucosal tumor
A look into a ruptured pseudocyst of the pancreas causing life threatening haemorrhage
Traction-assisted Endoscopic Submucosal Dissection of a Duodenal GIST
Circumferential ESD of a squamous cell carcinoma with no strictures in the follow-up


