ATIVIDADE RECENTE
Envio de resumos até 11 de fevereiro
O 2º Serão de Gastrenterologia 2026, sobre o tema “Fígado” irá realizar-se no dia 23 de fevereiro, pelas 21h00, em formato híbrido. Informamos que...
Reunião Anual SPED 2026: Endoscopia cirúrgica - Estar à frente e aproveitar a inovação para melhor tratar
SAVE THE DATE 10 abril | Hotel Ipanema Park , Porto
NOVOS ARTIGOS: dezembro 2025 | New articles: December 2025
Artigos sobre endoscopia publicados por membros da SPED | Publications about endoscopy by SPED' members
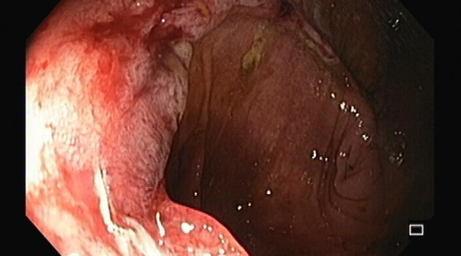
Obstrução do trato de saída gástrico
Observe em um minuto o algoritmo de atuação proposto.Aprofunde conhecimento ou reveja mais globalmente este tema nos artigos...
Submissão de resumos até 23 de fevereiro de 2026
A Sociedade Portuguesa de Gastrenterologia, em parceria com a Sociedade Portuguesa de Endoscopia Digestiva e a Associação Portuguesa para o Estudo...
RECOMENDAÇÕES
Management of epithelial precancerous conditions and early neoplasia of the stomach (MAPS III): ESGE, EHMSG and ESP Guideline update 2025
ESGE - Performance measures for small-bowel endoscopy (update 2025)
Contactos
Rua Abranches Ferrão, nº 10 - 14º
1600-001 Lisboa
Portugal
1600-001 Lisboa
Portugal
+351 21 799 55 33
+351 21 799 55 38























