Aqui pode conhecer as candidaturas seleccionadas pelo júri do Prémio de Imagem Endoscópica 2023 para votação pelos sócios.
Os vencedores estão assinalados.
Error
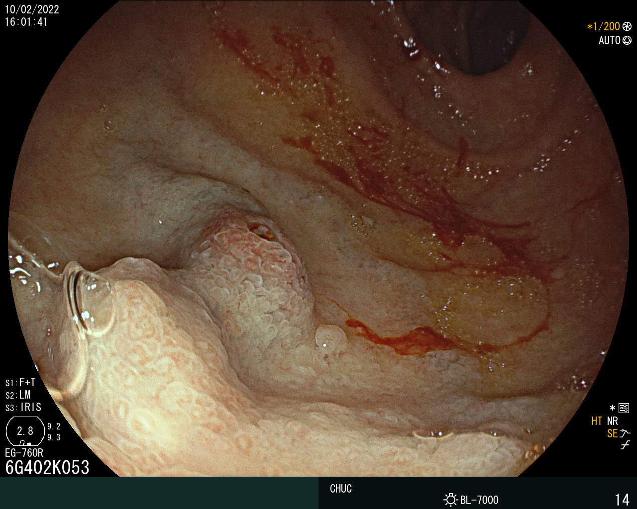
Duodenal varix as a presentation of hepatocellular carcinoma
Duodenal varix as a presentation of hepatocellular carcinoma
André Coimbra Trigo, Mafalda João, Sandra Lopes, Pedro Figueiredo
Centro Hospitalar da Universidade de Coimbra
A 79-year-old man with alcoholic liver cirrhosis presented with hematemesis. An upper endoscopy revealed a varix at the anterior wall of bulb with a red wale sign, indicating recent bleeding. An injection N-butyl-2 cyanoacrylate plus metacryloxisulfolane was successfully performed. The abdominal computed tomography angiography scan revealed a 29x26-mm nodule consistent with hepatocellular carcinoma (HCC), tumoral portal vein thrombosis and communicating collateral from the superior mesenteric vein feeding the duodenal varix with no splenorenal shunt.
Outras fotos:


The gleaming bowel behind chronic diarrhea
Fotografia
Metastatic melanoma: an uncommon cause of upper gastrointestinal bleeding
Fotografia
Juvenile polyps with osseous metaplasia: a rare occurrence
Fotografia
Acute gastrointestinal graft-versus-host disease with CMV and EBV superinfection
Fotografia
Brunner's Gland Cyst: a rare incidental finding
Fotografia
Aortoesophageal fistula: A rare cause of upper gastrointestinal bleeding
Fotografia
A bad gut-feeling: Kaposi’s sarcoma as an unusual cause of dyspepsia
Fotografia
“Purse-string” eschar closure after endoscopic submucosal dissection of a rectal lesion
Fotografia
Small bowel entrapment within the OTSC
Fotografia
White hoar frosting
Fotografia
Bubbles in a sparkling intestinal mucosa
Fotografia
A challenging case of chronic diarrhea
Fotografia
A silent small bowel tumor
Fotografia
Black ulcerative colon lesions – thinking outside of the necrosis box
Fotografia
Duodenal varix as a presentation of hepatocellular carcinoma
Fotografia
Underwater endoscopic submucosal dissection of a relapsing neoplastic colorectal lesion after surgery and radiotherapy: water to the rescue!
Vídeo
Acute recurrent cholangitis secondary to mucinous neoplasia of the bile duct - Challenge accepted!
Vídeo
Vídeo
Top flight ESD: a novel strategy for the gastric fundus tumours
Vídeo
A minimally invasive treatment for a lingering problem: the D-POEM technique
Vídeo


