Aqui pode conhecer as candidaturas seleccionadas pelo júri do Prémio de Imagem Endoscópica 2023 para votação pelos sócios.
Os vencedores estão assinalados.
Error
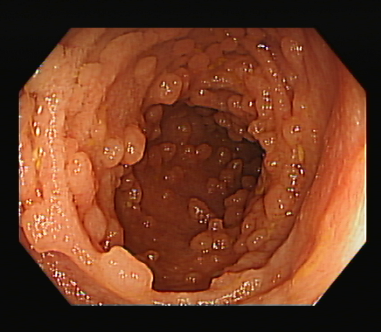
Bubbles in a sparkling intestinal mucosa
Bubbles in a sparkling intestinal mucosa - Menção honrosa (Fotografia)
Isabel Garrido, Ana Patrícia Andrade, Guilherme Macedo
Serviço de Gastrenterologia, Centro Hospitalar Universitário de São João
A 39-year-old woman, without relevant past medical history, underwent endoscopic studies due to iron deficiency anemia. Esophagogastroduodenoscopy showed a duodenal mucosa with multiple nodular lesions. Colonoscopy revealed multiple nodular-like lesions in the terminal ileum. The capsule endoscopy showed that the entire intestinal mucosa (duodenum, jejunum and ileum) also had a diffuse nodular appearance. The anatomopathological examination was compatible with nodular lymphoid hyperplasia, without aspects suggestive of lymphoproliferative disease. Later, the patient was diagnosed with common variable immunodeficiency and started replacement therapy with immunoglobulin G.
Outras fotos:


The gleaming bowel behind chronic diarrhea
Fotografia
Metastatic melanoma: an uncommon cause of upper gastrointestinal bleeding
Fotografia
Juvenile polyps with osseous metaplasia: a rare occurrence
Fotografia
Acute gastrointestinal graft-versus-host disease with CMV and EBV superinfection
Fotografia
Brunner's Gland Cyst: a rare incidental finding
Fotografia
Aortoesophageal fistula: A rare cause of upper gastrointestinal bleeding
Fotografia
A bad gut-feeling: Kaposi’s sarcoma as an unusual cause of dyspepsia
Fotografia
“Purse-string” eschar closure after endoscopic submucosal dissection of a rectal lesion
Fotografia
Small bowel entrapment within the OTSC
Fotografia
White hoar frosting
Fotografia
Bubbles in a sparkling intestinal mucosa
Fotografia
A challenging case of chronic diarrhea
Fotografia
A silent small bowel tumor
Fotografia
Black ulcerative colon lesions – thinking outside of the necrosis box
Fotografia
Duodenal varix as a presentation of hepatocellular carcinoma
Fotografia
Underwater endoscopic submucosal dissection of a relapsing neoplastic colorectal lesion after surgery and radiotherapy: water to the rescue!
Vídeo
Acute recurrent cholangitis secondary to mucinous neoplasia of the bile duct - Challenge accepted!
Vídeo
Vídeo
Top flight ESD: a novel strategy for the gastric fundus tumours
Vídeo
A minimally invasive treatment for a lingering problem: the D-POEM technique
Vídeo


