Aqui pode conhecer as candidaturas seleccionadas pelo júri do Prémio de Imagem Endoscópica 2023 para votação pelos sócios.
Os vencedores estão assinalados.
Error
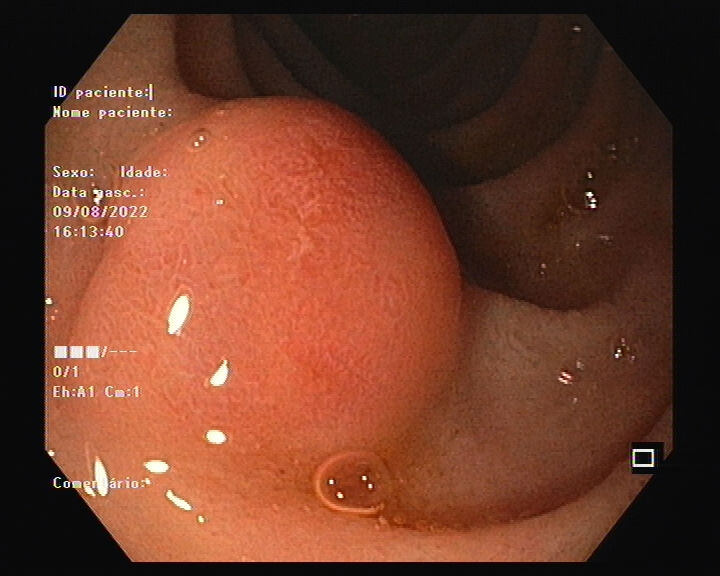
Brunner's Gland Cyst: a rare incidental finding
Brunner's Gland Cyst: a rare incidental finding
Catarina Neto do Nascimento, Catarina Gouveia, Rui Loureiro, Luísa Glória
Hospital Beatriz Ângelo
A 69-year-old male patient was referred for endoscopic assessment due to weight loss. His medical history was unremarkable. The esophagogastroduodenoscopy showed a 10mm polypoid lesion with normal mucosa appearance, suggestive of subepithelial origin, in the second part of duodenum, immediately after the major papilla. This lesion was biopsied using the "bite-on-bite" technique with a standard biopsy forceps. After the first biopsy, there was a clear gelatinous material drainage. An abdominal MRI was performed revealing a 5mm head pancreatic cystic lesion, suggestive of a small side-branch intraductal papillary mucinous neoplasm (IPMN). Histological examination showed duodenal mucosa and submucosa with cystic Brunner's gland. No dysplasia was identified.
Outras fotos:


The gleaming bowel behind chronic diarrhea
Fotografia
Metastatic melanoma: an uncommon cause of upper gastrointestinal bleeding
Fotografia
Juvenile polyps with osseous metaplasia: a rare occurrence
Fotografia
Acute gastrointestinal graft-versus-host disease with CMV and EBV superinfection
Fotografia
Brunner's Gland Cyst: a rare incidental finding
Fotografia
Aortoesophageal fistula: A rare cause of upper gastrointestinal bleeding
Fotografia
A bad gut-feeling: Kaposi’s sarcoma as an unusual cause of dyspepsia
Fotografia
“Purse-string” eschar closure after endoscopic submucosal dissection of a rectal lesion
Fotografia
Small bowel entrapment within the OTSC
Fotografia
White hoar frosting
Fotografia
Bubbles in a sparkling intestinal mucosa
Fotografia
A challenging case of chronic diarrhea
Fotografia
A silent small bowel tumor
Fotografia
Black ulcerative colon lesions – thinking outside of the necrosis box
Fotografia
Duodenal varix as a presentation of hepatocellular carcinoma
Fotografia
Underwater endoscopic submucosal dissection of a relapsing neoplastic colorectal lesion after surgery and radiotherapy: water to the rescue!
Vídeo
Acute recurrent cholangitis secondary to mucinous neoplasia of the bile duct - Challenge accepted!
Vídeo
Vídeo
Top flight ESD: a novel strategy for the gastric fundus tumours
Vídeo
A minimally invasive treatment for a lingering problem: the D-POEM technique
Vídeo


