Aqui pode conhecer as candidaturas seleccionadas pelo júri do Prémio de Imagem Endoscópica 2023 para votação pelos sócios.
Os vencedores estão assinalados.
Error
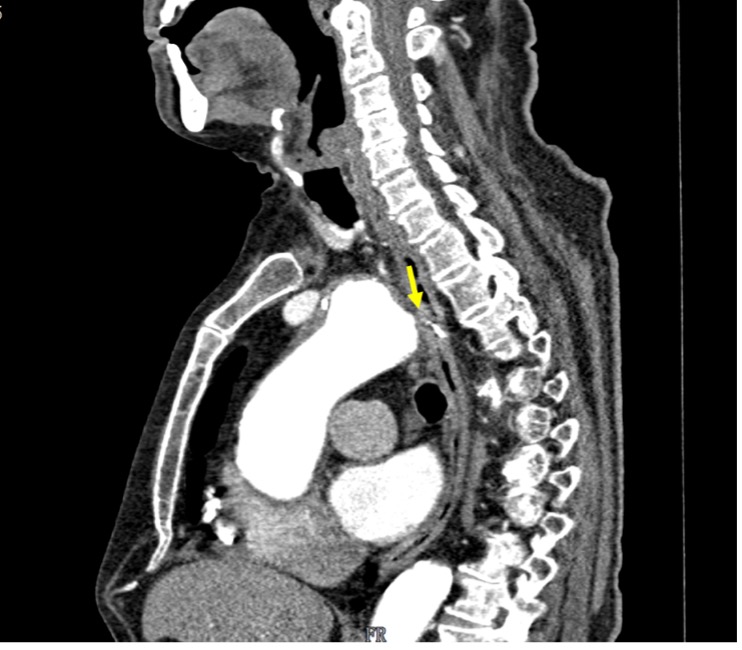
Aortoesophageal fistula: A rare cause of upper gastrointestinal bleeding
Aortoesophageal fistula: A rare cause of upper gastrointestinal bleeding
Tatiana Pacheco, Pedro Costa-Moreira, Liliane Meireles, Sara Monteiro, Juliana Costa, Rita Pimentel, Joana Pinto, Luísa Barros, Jorge Silva
Centro Hospitalar do Tâmega e Sousa
A 86-year-old male with hypertension, diabetes and ischemic heart disease, was admitted in the emergency department due to melena with hemodynamic instability. On upper endoscopy no lesions were found. He was admitted in the ICU and next-day reassessment esophagogastroduodenoscopy was normal. On the eighth day of hospitalization, the patient had new-onset hematemesis with hemodynamic instability. Esophagogastroduodenoscopy revealed an esophageal 10mm non-ulcerated mucosal depression with a visible vessel at 20cm from the incisors, closed with 3 hemoclips. Thoracic CT angiography showed a brachiocephalic trunk aneurysm with aortoesophageal fistulization. He was not a candidate for vascular treatment. No rebleeding at 2-month follow-up.
Outras fotos:


The gleaming bowel behind chronic diarrhea
Fotografia
Metastatic melanoma: an uncommon cause of upper gastrointestinal bleeding
Fotografia
Juvenile polyps with osseous metaplasia: a rare occurrence
Fotografia
Acute gastrointestinal graft-versus-host disease with CMV and EBV superinfection
Fotografia
Brunner's Gland Cyst: a rare incidental finding
Fotografia
Aortoesophageal fistula: A rare cause of upper gastrointestinal bleeding
Fotografia
A bad gut-feeling: Kaposi’s sarcoma as an unusual cause of dyspepsia
Fotografia
“Purse-string” eschar closure after endoscopic submucosal dissection of a rectal lesion
Fotografia
Small bowel entrapment within the OTSC
Fotografia
White hoar frosting
Fotografia
Bubbles in a sparkling intestinal mucosa
Fotografia
A challenging case of chronic diarrhea
Fotografia
A silent small bowel tumor
Fotografia
Black ulcerative colon lesions – thinking outside of the necrosis box
Fotografia
Duodenal varix as a presentation of hepatocellular carcinoma
Fotografia
Underwater endoscopic submucosal dissection of a relapsing neoplastic colorectal lesion after surgery and radiotherapy: water to the rescue!
Vídeo
Acute recurrent cholangitis secondary to mucinous neoplasia of the bile duct - Challenge accepted!
Vídeo
Vídeo
Top flight ESD: a novel strategy for the gastric fundus tumours
Vídeo
A minimally invasive treatment for a lingering problem: the D-POEM technique
Vídeo


