Aqui pode conhecer as candidaturas seleccionadas pelo júri do Prémio de Imagem Endoscópica 2023 para votação pelos sócios.
Os vencedores estão assinalados.
Error
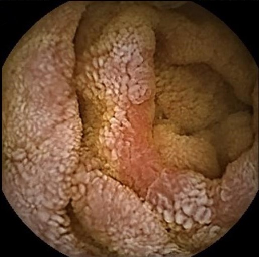
A challenging case of chronic diarrhea
A challenging case of chronic diarrhea
Isabel Garrido, Armando Peixoto, Hélder Cardoso, Guilherme Macedo
Serviço de Gastrenterologia, Centro Hospitalar Universitário de São João
A 74-year-old Caucasian woman, without relevant past medical history, was admitted due to weight loss, abdominal pain and diarrhea for a year. Blood tests showed severe hydroelectrolytic and nutritional disorders. Upper endoscopy and colonoscopy had no relevant changes. Capsule endoscopy revealed extensively scattered lymphangiectasias, areas with shortened villi and some erosions in the jejunum and ileum. The histological examination showed severe mucosal atrophy, crypt hyperplasia and lymphoplasmacytic infiltration in the lamina propria, without significant intraepithelial lymphocytosis. Towards the diagnosis of autoimmune enteropathy, treatment with corticosteroids was started, with a quick improvement of symptoms and nutritional deficits.
Outras fotos:


The gleaming bowel behind chronic diarrhea
Fotografia
Metastatic melanoma: an uncommon cause of upper gastrointestinal bleeding
Fotografia
Juvenile polyps with osseous metaplasia: a rare occurrence
Fotografia
Acute gastrointestinal graft-versus-host disease with CMV and EBV superinfection
Fotografia
Brunner's Gland Cyst: a rare incidental finding
Fotografia
Aortoesophageal fistula: A rare cause of upper gastrointestinal bleeding
Fotografia
A bad gut-feeling: Kaposi’s sarcoma as an unusual cause of dyspepsia
Fotografia
“Purse-string” eschar closure after endoscopic submucosal dissection of a rectal lesion
Fotografia
Small bowel entrapment within the OTSC
Fotografia
White hoar frosting
Fotografia
Bubbles in a sparkling intestinal mucosa
Fotografia
A challenging case of chronic diarrhea
Fotografia
A silent small bowel tumor
Fotografia
Black ulcerative colon lesions – thinking outside of the necrosis box
Fotografia
Duodenal varix as a presentation of hepatocellular carcinoma
Fotografia
Underwater endoscopic submucosal dissection of a relapsing neoplastic colorectal lesion after surgery and radiotherapy: water to the rescue!
Vídeo
Acute recurrent cholangitis secondary to mucinous neoplasia of the bile duct - Challenge accepted!
Vídeo
Vídeo
Top flight ESD: a novel strategy for the gastric fundus tumours
Vídeo
A minimally invasive treatment for a lingering problem: the D-POEM technique
Vídeo


